Dentistry @ University Pointe
Dr. Brian Caesar and Dr. Mitchell Poole
Dentistry @ University Pointe
Dr. Brian Caesar and Dr. Mitchell Poole
Request an Appointment
Like us on Facebook
Watch our Youtube Videos
Leave a Google Review
Instagram
(513) 772-4000
Dentistry @ University Pointe
Pay Here
Home
About
Our Team
Brian J. Caesar
Mitchell A. Poole
Technology
Practice Photos
Services
View All
Childrens Dentistry
SureSmile® Clear Aligners
Traditional Orthodontics
Sedation Dentistry
CEREC Crowns and Bridges
Emergency Dentistry
Preventive Dentistry
General Dentistry
Dental Implants
Cosmetic Dentistry
Tooth-Colored Composite Fillings
Smile Gallery
Testimonials
Patient Info
View Patient Info
Financial
FAQs
Blog
Contact
Dentistry @ University Pointe
>
Smile Gallery
>
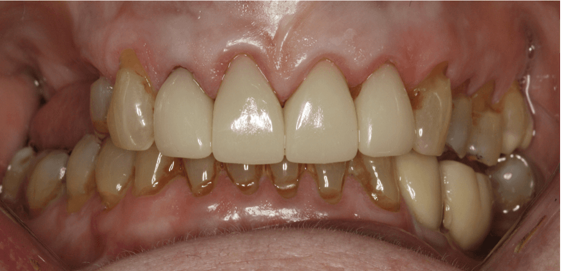
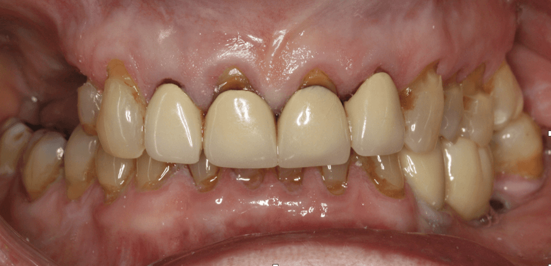
Anterior Single Visit Crowns
Anterior Single Visit Crowns
Return to Smile Gallery
Previous
Next
Replacement of front four crowns for new crowns
Related Services:
CEREC Crowns and Bridges
Drag the arrows back and forth to view complete Before and After views
Not finding what you need?
Contact Us
If you have difficulty using our website, please
email us
or call us at
(513) 772-4000
View the
ADA Accessibility Statement
Turn on ADA Views
Privacy Policy
OK!
×
×
Contact Us Today
Give Us A Call
Dentistry @ University Pointe -
(513) 772-4000
Send Us an Email
Request an Appointment
Contact Us
Ready to Schedule an Appointment?
Book Online
Have Questions? Contact Us:
Required Field
Your Name:
Phone:
Email:
Are you a new patient?:
Are you a?
New Patient
Current Patient
How would you like us to contact you?
Please choose
Call
How did you hear about us?
Please choose
I'm an existing patient
Google/Bing
Mailer
Word of mouth
Social media
Other
Who Referred You?:
Appointment Preferences
Monday
Tuesday
Wednesday
Thursday
Friday
Your Message:
This site is protected by reCAPTCHA and the Google
Privacy Policy
and
Terms of Service
apply.
Sending...
×
This Patient's Experience
Loading Testimonial...
Loading Case...