Dentistry @ University Pointe
Dr. Brian Caesar and Dr. Mitchell Poole

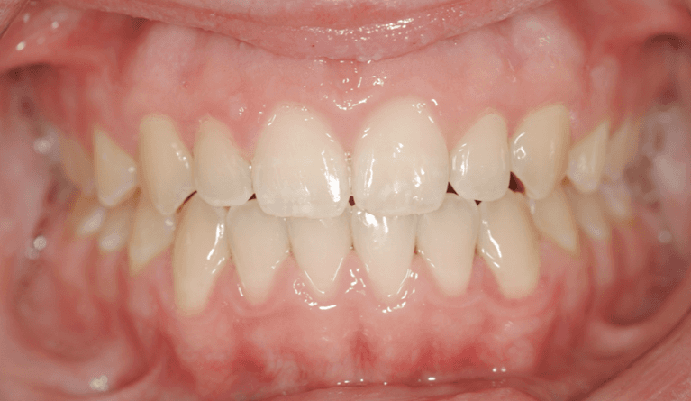
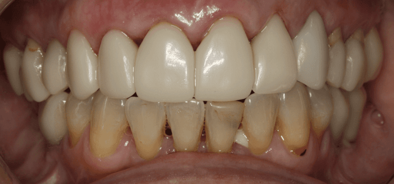
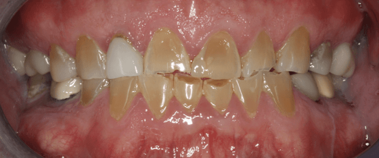
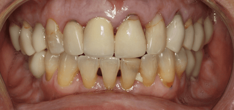
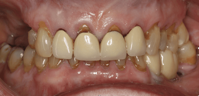
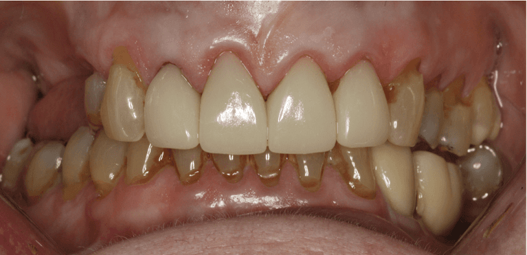
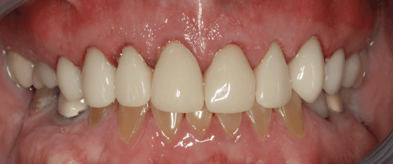
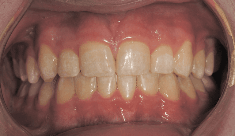
Smile Gallery

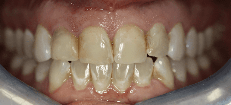
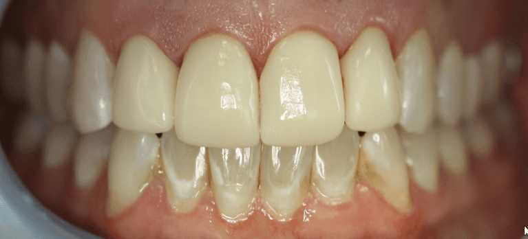
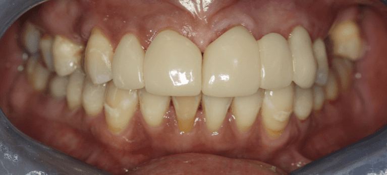
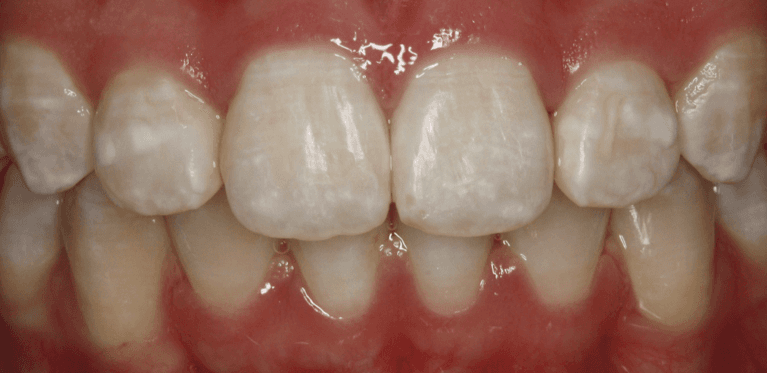
We are proud of the transformations we've created that improve oral health and enhance smiles. Please take a moment to look at our gallery of before and after photos, get inspired, and call us at (513) 772-4000 to schedule an appointment!

Still need an appointment?
"It was a perfect fit for my family."
If you have difficulty using our website, please email us or call us at (513) 772-4000
View the ADA Accessibility Statement